规范化儿童早期矫正速成班【大理】
1200
次
|
|||
| 单位: |
|
||
| 费用: | 2800 | 老师: | 赵伟国 |
| 联系: | 孟经理
电话:
19943450740
|
||
| 时间: | 2022.10.26 至 2022.10.27 | ||
| 地址: |
云南省大理白族自治州大理市富海路15号
地图
|
||
|
|||
| 详细介绍 |
规范化早期儿牙矫正进修班
前言:
儿童替牙期约有3/4的错合畸形病例,绝大多数是因为不良习惯和环境因素所致。儿童从6岁至12岁的混合牙列是建立正常咬合的关键时段,此时的错合,反合,开合和间隙等问题很容易被家长忽视,口腔医生也因为缺乏正畸专科训练,而不知道如何有效的治疗,使孩子失去早期矫正的*佳黄金时间,导致严重的面部发育障碍,不得不接受更痛苦和昂贵的手术治疗,甚至导致终身颜面创伤和畸形。
早期矫正不仅提升儿童的颜值,同时也增强孩子的自信心和成就感,留住一个儿童患者,就等住等于留住一个家庭。不仅儿童的父母和爷爷奶奶很自然的成为诊所的病人,他的同学和朋友也会源源不断的被介绍到诊所而来。所以儿童早期矫正是诊所发展和腾飞的原动力。
讲师介绍:
赵伟国
专业口腔正畸医师
中华口腔医学会会员
广东爱尔美口腔医院院长
广东品优正畸医疗、牙途口腔学院等多家医疗机构讲师。长期从事儿童早期矫正和颜面管理,青少年牙齿矫正,成人牙齿矫正。
课程内容:
****天
上午(理论)
1、以生理牙合为导向的咬合诱导临床思维与实践
(1)间隙保持器的选择
(2)间隙的开辟
下午
2、儿童错牙合的诊断技术
(1)替牙期中切牙间隙诊断
(2)投影测量
(3)模型分析
(4)问题列表
第2天
上午
3、儿童咬合诱导实用技术应用要点
(1)儿童错颌的诊断和方案
(2)2*4矫正技术的临床应用
下午
4、儿童早期安氏二类错颌的矫正
(1)Tb的作用和功能
(2)肌激动器的咬颌诱导
(3)法兰克2
5、隐形矫正在二类错错颌的应用
6、儿童早期三类错颌的矫正
7、法兰克3功能矫正器的设计和作用
8、导弓的作用
总 结
操作示教
1、面框调制
2、扩弓+面前牵应用要点
3、各种常用活动矫治器、功能矫治器调节
4、识别儿童错牙合矫治常用器械及耗材
5、腊堤的制作和制取
时间按排
8:30签到
9:00-10:45精彩讲演
10:45-11:00中场休息
11:00-12:00继续讲课
12:00-13:30用餐,休息
13:30-15:00精彩讲课
15:00-15:20中场休息用茶点
15:20-17:00继续讲课
17:00-17:10休息
17:10-18:30继续讲课
18:30放学
第2天下午15:00按排与老师合影
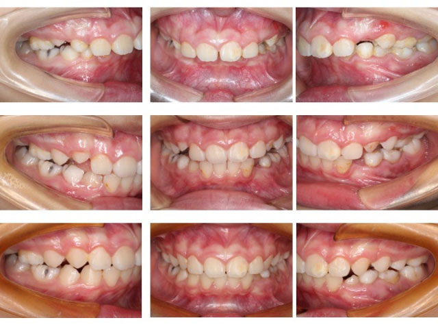
精彩病例分享:


备注:
1,按照交费的先后顺序,确定听课座位,含讲义、午餐等费用,其他食宿自理。
2、本班为您免费提供部分实践操作的医疗器械,供您实操练习,为学员推荐就近快捷的酒店。
3、禁止正式学员携带其他人进入会场。
4、会前7天取消,不予退款,可延至下期学费。
【复训温馨提示】
1、现场请出示本人身份证或结业合影照片。
3、复训收费:听理论,不实操,100元/天(含午餐、茶歇、笔记本、笔等资料),如已发讲义,请携带到现场。
上课场所:大理桔子水晶酒店
地址:云南省大理白族自治州大理市富海路15号